
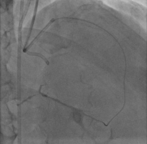
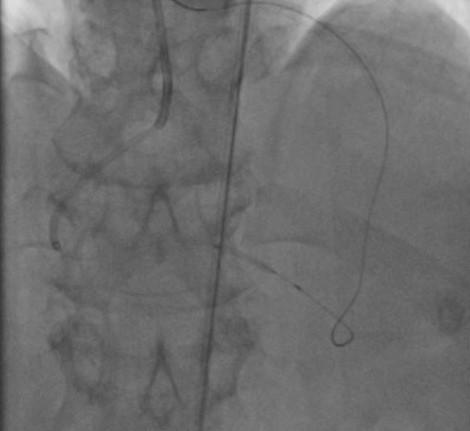
G.H.M.S.S., 46 anos, com hipertensão, diabetes, dislipidemia, história familiar de doença arterial coronariana (DAC) precoce e ex-tabagista. Foi internado em novembro de 2021 e diagnosticado com acidente vascular cerebral (AVC). Durante o internamento, realizou ecocardiograma para investigar possíveis causas do AVC, que evidenciou fração de ejeção de 46% com hipocontratilidade do ventrículo esquerdo mais acentuada em parede inferior. Na ocasião, tinha desconforto retroesternal em aperto e dispneia aos esforços. A angiotomografia demonstrou DAC multiarterial e ao realizar cateterismo foi visto: descendente anterior (DA) com lesão moderada no óstio e duas lesões graves (90%) no 1/3 proximal; circunflexa (Cx) com lesão grave no 1/3 proximal e no 1/3 médio; 1º marginal (Mg) com lesão grave no óstio; coronária direita (CD) dominante ocluída no 1/3 proximal; circulação colateral da coronária esquerda para a descendente posterior grau III. Foi indicado cirurgia de revascularização miocárdica, porém o paciente recusou e insistiu para realizar o procedimento via percutânea. Dessa forma, realizou angioplastia transluminal coronária em 02/22 que tratou as lesões em DA, Cx e 1º Mg e foi optado por tratar a oclusão crônica em CD posteriormente.Em julho, foi feito o procedimento com a tentativa de acessar retrogradamente o 1/3 distal da coronária direita com a corda guia Samurai e posteriormente com a corda guia 0,014 Pilot 150 com o suporte do microcateter Mamba sem sucesso, com dissecção da capa distal da oclusão. Então, houve tentativa de cruzar por via anterógrada com a guia Fighter, também sem sucesso. Terceira tentativa de puncionar a capa proximal da oclusão com a guia Hornet 10 também falhou, porque a guia não seguiu a curvatura da CD e pareceu seguir pela luz de um marginal direito. Por último, foi optado por utilizar um novo microcateter Mamba e realizar uma dissecção proximal da CD com um balão e seguir com a guia Pilot 150 e o microcateter através do espaço sub-intimal até o 1/3 distal da CD, realizando dilatação do espaço com balão. Guiado por ultrassom intra-coronário, foi feito o implante de stents em todo o segmento da CD no espaço sub-intimal e realizados, ainda, pós dilatação intra-stent. Ao final do procedimento, o ultrassom demonstrou boa expansão, porém com poucas áreas de má aposição, sendo optado por não realizar nova pós-dilatação, uma vez que havia ruptura do vaso com dilatação agressiva no espaço sub-intimal. Após o procedimento, o paciente evoluiu estável e assintomático, recebendo alta hospitalar depois de 3 dias com AAS e Ticagrelor.














