
O conhecimento sobre a história natural do pseudoaneurisma do ventrículo esquerdo (VE) é limitado, principalmente se for pós traumático.
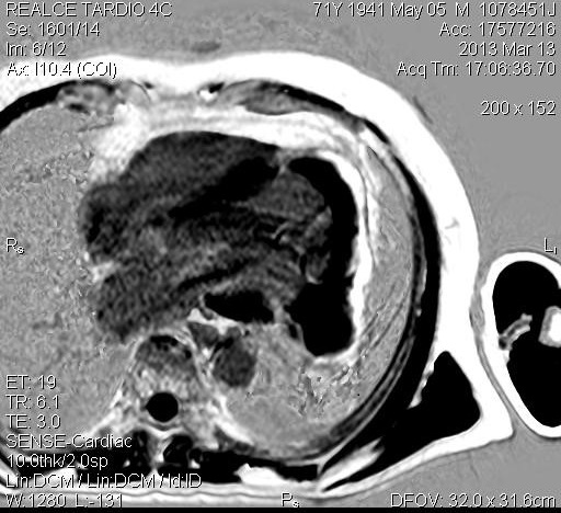
RELATO DE CASO: Homem de 71 anos, agricultor aposentado, com história de hipertensão e tabagismo, foi encaminhado para realização de coronariografia diagnóstica. Há seis meses apresentava dispneia progressiva aos esforços e apresentava-se em classe funcional III de NYHA. Seu eletrocardiograma mostrava baixa voltagem periférica e áreas elétricas inativas inferior e anterolateral. Radiografia de tórax apresentava aumento cardíaco e calcificação ínfero-apical do coração. Aterosclerose não significativa foi observada na artéria coronária direita e no primeiro ramo diagonal. O segundo ramo marginal esquerdo vem em direção à área calcificada, com interrupção abrupta e sem qualquer componente aterosclerótico. O VE apresentava extensa área com intensa calcificação nas paredes posterior, lateral e apical do VE. A infiltração gradual de contraste entre as bordas dessas regiões – mais intensamente na parede posterior – e vindo em direção à grande área calcificada, sugeria um grande trombo consolidado. Observou-se aumento compensatório da contratilidade em outras regiões do VE, dando a impressão de duas cavidades de dimensões semelhantes no VE, bastante compatível com o diagnóstico de pseudoaneurisma nas paredes posterior, lateral e apical do VE. Uma ressonância magnética cardíaca complementar confirmou o diagnóstico. O questionamento detalhado de seu histórico médico anterior revelou uma lesão no peito quando ele tinha 13 anos, quando caiu em um arado de tração animal e fraturou as costelas. Revisão de coronariografia prévia realizada em outra instituição aos 57 anos por evento sincopal teve achados semelhantes. Foi mantido em tratamento clínico após a última avaliação, em que recebeu inibidor da ECA, betabloqueador e diurético. Ele sobreviveu por pelo menos 5 anos quando perdeu o acompanhamento.
DISCUSSÃO: Embora a etiologia não possa ser definitivamente esclarecida, é bastante plausível que o pseudoaneurisma do VE tenha sido causado por trauma torácico relatado na infância. Seria difícil justificar o dano ventricular por doença arterial coronariana, uma vez que não foi evidente em coronariografia prévia, que já mostrava o pseudoaneurisma do VE e, mais importante, não foi realizada durante uma síndrome coronariana aguda.
CONCLUSÃO: Este caso contribui para o conhecimento sobre a história natural do pseudoaneurisma do VE e pode indicar que a sobrevida a longo prazo é possível, sem sintomas significativos.


