
INTRODUÇÃO
O miocárdio não compactado (MNC), também chamado de “Miocárdio Esponjoso” é uma patologia congênita rara, que surge provavelmente ainda no período embrionário, com parada intrauterina da compactação do miocárdio no início do desenvolvimento fetal, que determina formações de trabéculas no músculo cardíaco, recessos intratrabeculares profundos e espessamento do miocárdio em duas camadas distintas (parte compactada e não compactada).
Relatamos o caso de um paciente que possui miocárdio não compactado e valva aórtica bicúspide, evoluindo com diagnóstico de insuficiência cardíaca.
RELATO DO CASO
RAS, 50 anos, sexo masculino, branco, pedreiro, veio encaminhado para o ambulatório de cardiologia relatando dispneia aos esforços habituais, dispneia paroxística noturna e tosse seca há 4 meses. Negou comorbidades e uso de medicações. Antecedente de mãe falecida por cardiopatia dilatada sem diagnóstico etiológico e sua irmã teve infarto agudo do miocárdio aos 42 anos. Ao exame físico: edema de membro inferior direito (+/4+), FC = 112 bpm e PA = 130x80 mmHg. ECG: ritmo sinusal apresentando sobrecarga de ventrículo esquerdo (Figura 1). Apresentou raio-x prévio evidenciando aumento da área cardíaca.

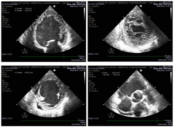
Ecocardiograma transtorácico (Figura 2): átrio esquerdo de 45 mm, ventrículo esquerdo com espessura miocárdica reduzida, com hipertrabeculação acometendo mais que 2/3 da espessura miocárdica, situadas em ápice e segmento médio e apical das paredes lateral e inferior, fração de ejeção de 26,53%. O ventrículo direito apresentou espessura miocárdica normal, com hipocinesia difusa e hipertrabeculação em região do ápice. Pressão sistólica em artéria pulmonar de 46 mmHg.

Holter de 24h em ritmo sinusal, variações fisiológicas da FC, raras extrassístoles, iQT normal. Laboratório: NT-proBNP de 1.453 pg/ml, sorologias negativas.
Otimizado tratamento da ICFER com carvedilol, furosemida, espirinolactona, AAS sacubitril/valsartana e dapaglifozina.Paciente foi encaminhado para a central de referência de transplante cardíaco e segue em acompanhamento neste ambulatório, com melhora parcial dos sintomas.
DISCUSSÃO
O exame complementar mais utilizado para o diagnóstico é o ecocardiograma transtorácico. O critério mais importante é em relação à camada trabeculada, que deve ter uma relação MNC/miocárdio compactado >2. Achados de disfunção sistólica e diastólica fortalecem o diagnóstico.
Ao início dos sintomas (IC, embolia, arritmia), todos pacientes devem ser tratados clinicamente independente da patologia de base, reservado o transplante cardíaco para casos de insucesso.